CASE01:All on 4
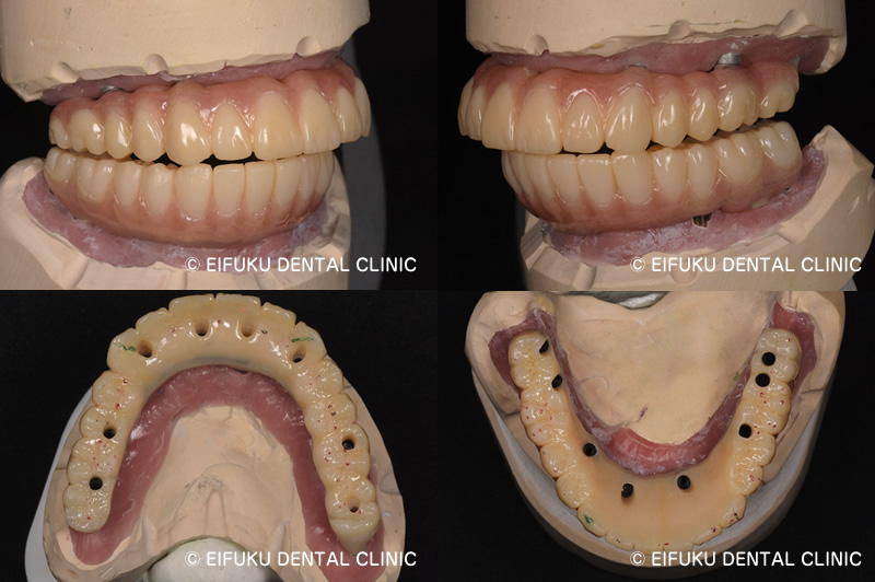
下の歯は4本、上の歯は5本インプラントを埋め込み、上下ともに1日で歯をセットしました。上の歯に関しては、単に5本埋入すればいいという問題ではありません。
ダブルブロック骨移植+ダブルサイナスリフト+上顎結節埋入
業者様専用ダイヤル(診療予約不可):090-9950-0885
平日 09-19時 *お昼休無し(最終受付18:30)
土日祝 10-18時 *お昼休無し(最終受付17:30)





| 主訴 | 上の歯茎がへこんでいる、噛めない |
|---|---|
| 治療部位 | 上下全顎 |
| 治療期間 | 仮歯は上下とも当日装着、下顎は3か月、上顎は6か月で最終完成 |
| コメント | 上顎は通常の人工骨ではカバーできないほと骨が無かった状態で、且つ、入れ歯が入れられないため、仮歯を当日に装着する必要がありました。 水平的に骨が無いため、下の顎から自分の骨をブロックで採取し、移植をおこなうことで十分量を確保でき、気にされていた歯茎の凹みを治療することが可能となります。 6か月かけて70-80%自家骨が吸収することを予測し、多めに骨増量しています。 多すぎた場合は削ることで微調整が可能です。歯肉の厚みが足りない場合も移植が可能です。 移植部は負荷をかけられないため、上顎結節部にインプラントを埋入し、骨が固まるまで仮歯で過ごしていただきます。 |
| 治療後のリスク | インプラント周囲炎、メンテナンスが必要 |
CASE07:All on 4
オールオン6(骨の状態によってはオールオン4)という技術を用いることによって、歯が1本もない患者さんでも手術をしたその日に歯が入り食事をすることが可能になります。
CASE04:インプラント
通常、インプラント手術の際に、歯肉を切開し、歯肉とあごの骨にインプラントを埋め込むする穴を開ける工程があります。その際に専用のドリルを使用するのですが、骨が細かったり、0,1mm単位で正確に埋入が必要な場合、サージカルガイドシステムが役立ちます。
CASE03:All on 4
初診時の写真にあるように、咬む場所がなく、今まで流動食や舌で潰せる食べ物しか噛めない状況でした。
そうすると、お肉などのたんぱく質が摂取できず、栄養バランスが偏ってしまいます。
CASE02:All on 4
初診時には、咬合高径といって本来患者さんが歯がすべてあった状態での咬み合わせの高さが失われている方が多いです。そして、長い年月歯の無い状態で食事を続けていると脳が高さを失った状態をインプットしてしまいます。
業者様専用ダイヤル(診療予約不可):
090-9950-0885
平日
09-19時※お昼休み無し(最終受付18:30)
土日祝
10-18時※お昼休み無し(最終受付17:30)
〒168-0064 東京都杉並区永福4丁目1−4
永福ランドビル 1F
京王井の頭線・永福町駅 徒歩 1 分
駐車場完備(所在地はコチラ)
首都高速4号新宿線「永福出入口(IC)」より5分