
歯に装置を取り付け、歯根を移動させながら、きれいな歯並びと正常な咬み合わせへ改善していきます。矯正治療は、未来の自分への投資やプレゼントとも言えるでしょう。矯正歯科の初診相談は無料で受け付けております。
成人矯正・装置の種類
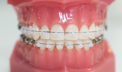
目立たない表側装置
プラスチック素材のクリアタイプ(半透明)やセラミック素材の白タイプを四角い装置部分に使用し、装置を目立たなくしています。
歯の色にも馴染み「案外、全然目立たたかったので、これなら表側矯正でも安心」とのお声もいただいております。オプションでワイヤーをホワイトワイヤーにも変更もできます。
裏側矯正
歯の裏側に装置を付ける矯正方法です。大きくお口を開かない限り、表側からは見えず気付かれにくいため、今まで矯正治療に抵抗あがあった方にも人気のある装置です。発音には影響が出ますので、患者さまの学業お仕事、ライフスタイルに合わせて診断もさせていただいております。
裏側矯正には、以下の2種類の方法があります。
フルリンガル(上下顎裏側)
上下の歯ともに、全て裏側装置を付ける方法。
ハーフリンガル(上顎裏側/下顎表側)
良く目立つ上の歯だけを裏側装置にして、下の歯には表側装置を付ける方法です。全て裏側矯正に比べて費用を抑えられます。
マウスピース矯正(インビザライン)
透明な取り外し式の目立たないマウスピース矯正装置です。インビザラインは世界100カ国以上で展開され、1000万人以上の治療実績があるマウスピース矯正システムです。
マウスピース矯正「インビザライン」は以下のページで詳しくご紹介しております。
矯正治療が必要な歯並び
出っ歯(上顎前突)
受け口(下顎前突・反対咬合)
深く噛んでいる(過蓋咬合)
交叉咬合(互い違いに噛む)
でこぼこ(叢生)
開咬(前歯が閉じない)
すきっ歯(空隙歯列)
すきっ歯(正中離開)
当院の矯正歯科の考え方
おの印象は70%が口元で決まる
お顔の印象は、どこが重要でしょうか?例えば、目が一重でも美人な方、鼻が低くても可愛らしい方。しかし、口元が出ていたり、歯並びがデコボコしていたりすると、一般的には「美人」という評価はは少ないのではないでしょうか。
このように、お口元が顔貌全体に与える印象は、非常に大きいと言われています。
歯並びの悪さの周囲への印象や、ご本人の心理的コンプレックスは、一生ついてまわります。矯正治療の前には、矯正器具の見た目や矯正にかかる費用を不安に思っている方も多いようです。
ですが、実際に矯正治療を受けられた方の声としては、
「これから長い人生の中で、数十万円の費用、1~2年程度の治療期間を経ることで、これまでの悩みやコンプレックスが解消される。それであれば『自身の人生をより豊かに過ごすための早めの投資』として考えた場合、始めるのが早ければ早いほどお得」という感想が多く聞かれます。
皆さん口をそろえて「もっと早く始めればよかった」とおっしゃいます。
歯を抜かない=(イコール)良い矯正?
「歯を抜かないと矯正歯科治療は出来ない?」と、よく患者様からご質問されます。確かにご自身の歯を抜かずに矯正できれば安心だと思います。私たち歯医者も、歯の大切さを最も理解している立場ですので同意見です。
しかし、矯正治療に関しまして「歯を抜かない」という選択は、必ずしも最良の結果を生むとは限らないこともあります。とくに日本人の成人矯正においては以下の理由が挙げられます。
お子さんのアゴに比べて、大人のアゴは成長が既に止まってしまっており、アゴの大きさ(骨のアーチの大きさ)を広げることができません。
「歯並びが悪い」状態とは、例えば2人掛けのベンチに3人が座ろうとしている状態のことです。お子さんの場合は、ベンチを大きく作り替えて3人で座れるようにすることが可能です。
しかし大人の場合、残念ながらそのベンチである「アゴ」の成長が止まってしまっており、きれいに歯を並べるためには、歯を抜くことも必要になることがあります。
もし抜歯が必要なのに、抜歯を行わず無理に矯正をする場合、2人掛けベンチに「無理やり」3人が座ることになりますので、互い違いに体をずらしてきれいに座ることができません。歯並びもこれと全く同じで、きれいに並べることはできず、出っ歯になったり、歯茎が下がって歯が長くなったり、でこぼこが治らなかったりする可能性があります。
しかしながら、必ず抜歯を行う必要もなく、術前検査で歯やアゴの大きさなどをよく吟味したうえ、抜歯の可否を決めますので、ケースによっては抜かずに矯正治療ができるケースもあります。
*親知らずは抜くケースがあります。
矯正歯科・よくある質問Q&A
- 矯正治療の事前相談をしたい、どうすればいいですか?
- お電話orWEB予約で受け付けております当院にお電話またはWEB予約から、初診矯正相談のご予約をお伝えください。相談時間は1時間程度の時間が必要となります。
- 装置を付けている期間はどれくらいですか?
- 年齢や歯並びにより変わりますが約2~3年くらいです矯正治療の期間は、歯並びの状態や開始年齢で大きく異なります。初診相談時に大まかな治療期間についてお伝えし、詳しい診査診断後の治療計画にて正確な期間をお伝えできます。平均的な治療期間の約2~3年はこれ以下の方もいらっしゃれば、これ以上かかる方もいらっしゃいます。
- 通院の回数はどれぐらいですか?
- 月に1回の頻度です固定式の矯正装置を付けている時は、月に約1回の通院頻度です。矯正治療が終了し、リテーナー(保定装置)を使用する保定期間では、4~6ヵ月に1回の通院頻度となります。
- 矯正治療は何歳まで可能?
- 何歳でも治療が可能です歯や歯ぐきが健康であれば、年齢は関係なく何歳でも治療が可能です。しかし、歯の本数が相当少ない、歯周病である、インプラントがある・・・など、ご年齢以外の歯の状態によっても矯正治療が難しい場合もありますので、詳しくはご相談ください。
- 虫歯や歯周病があっても矯正できる?
- 先に必要な治療を済ませてからのスタートとなります矯正の前に歯の検査をしますので、そこで虫歯や歯周病などの病変が見つかった場合は、先に必要な治療を済ませてから矯正治療を行ないます。当院では一般歯科の行っていますので、同一クリニック内で、虫歯や歯周病、抜歯の処置が完結できます。
- 矯正時の痛みが心配です
- 痛みを伴いますが、通院後に2~3日で収まります矯正治療は、歯を動かしていきますので、歩いて緯度の痛みが伴いますが、歯の移動に必要な痛みですので、ご安心ください。通常は3日程度で痛みが消えます。この痛みは、矯正装置の技術発展により、一昔前の矯正治療と比べると、だいぶ軽くなりました。中には痛みを全く感じない方、とても痛がる方、感じ方には個人差があります。
また、矯正の装置が唇や、頬の内側に当たって痛みを感じることもあります。その際の応急処置として、装置が当たる部分にワックスを付けたり、ワイヤーを短くしたり、ワイヤーに保護カバーをすることで対応します。 - 目立たない矯正装置はありますか?
- クリアタイプ、マウスピース矯正、裏側矯正などがあります一般的なワイヤーによる矯正の場合、歯に付ける四角形の装置の素材として、プラスチックやセラミック製を選べば、歯と同じ色ですので、目立ちにくくなります。また透明で取り外しが可能なマウスピース矯正(インビザライン)や裏側矯正についても対応可能です。患者様のケースによっては対応不可の場合もありますので、詳しくは初診相談時にご説明させていただいております。
- 歯を抜かないとダメでしょうか?
- 歯並び・顎の状態で抜歯・非抜歯が変わりますご自身の歯全体の並ぶスペースが顎の骨のアーチの広さや骨の厚みなどによって、歯を抜くかどうかが変わります。ご自身の歯の状態で、抜歯せずに矯正できるかどうかは、初診相談時に詳しくご説明せていただきます。

