CASE01:All on 4
下の歯は4本、上の歯は5本インプラントを埋め込み、上下ともに1日で歯をセットしました。上の歯に関しては、単に5本埋入すればいいという問題ではありません。
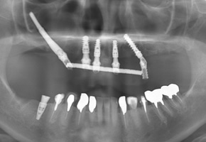
ザイゴマインプラントによる即日オールオン4
業者様専用ダイヤル(診療予約不可):090-9950-0885
平日 09-19時 *お昼休無し(最終受付18:30)
土日祝 10-18時 *お昼休無し(最終受付17:30)









| 主訴 | 高齢なので早く噛みたい |
|---|---|
| 治療部位 | 上顎・下顎 |
| 治療期間 | 手術した日に仮歯が入り、お食事が可能 |
| コメント | 「歯がボロボロで、このままでは何も噛めない」とお悩みの高齢70代のの女性の患者さんが、東京都内でインプラント治療を探されて当院に来院されました。 長年のむし歯と歯周病により、上も下もご自身の歯ではほとんど噛めない状態で、「入れ歯は合わないのですぐにしっかり噛みたい」というのが一番のご希望でした。当院ではまずCTによる精密検査を行い、骨量が大きく失われていた上顎には通常のインプラントではなく、頬骨を利用するザイゴマインプラントを選択しました。 下顎には4本のインプラントで全体の歯を支える「オールオン4(All-on-4)インプラント」を計画し、噛み合わせや負担のバランスを綿密に設計したうえで手術に臨みました。「手術が怖い」「痛みが心配」という不安をお持ちだったため、点滴でお薬を入れてうとうとリラックスした状態で治療が受けられる「静脈内鎮静法」を併用しました。 全身麻酔とは異なり意識は保ちながらも、手術中の恐怖心や痛みの記憶がほとんど残らず、長時間のインプラント手術でも安心して受けていただける方法です。手術当日に上顎ザイゴマインプラントと下顎オールオン4のインプラントを埋入し、十分な初期固定が得られたため、その日のうちに固定式の仮歯を装着しました。 「久しぶりに自分の歯で噛めているような感覚」「手術の記憶もあまりなく、あっという間に終わった」と、柔らかいものから少しずつお食事を楽しんでいただけるようになりました。ザイゴマインプラントやオールオン4は、総入れ歯や「歯がボロボロ」でお困りの方、骨が少なく他院でインプラントが難しいと言われた方でも、しっかり噛める状態を目指せる高度なインプラント治療です。 当院ではインプラント専門の歯科医師が、静脈内鎮静法を用いた負担の少ない手術と、長期的なメインテナンスまで見据えた治療計画で、東京都エリアの患者さんの「すぐに噛みたい」という願いにお応えしています。 |
| 治療後のリスク | インプラント周囲炎、メンテナンスが必要 |
CASE07:All on 4
オールオン6(骨の状態によってはオールオン4)という技術を用いることによって、歯が1本もない患者さんでも手術をしたその日に歯が入り食事をすることが可能になります。
CASE04:インプラント
通常、インプラント手術の際に、歯肉を切開し、歯肉とあごの骨にインプラントを埋め込むする穴を開ける工程があります。その際に専用のドリルを使用するのですが、骨が細かったり、0,1mm単位で正確に埋入が必要な場合、サージカルガイドシステムが役立ちます。
CASE03:All on 4
初診時の写真にあるように、咬む場所がなく、今まで流動食や舌で潰せる食べ物しか噛めない状況でした。
そうすると、お肉などのたんぱく質が摂取できず、栄養バランスが偏ってしまいます。
CASE02:All on 4
初診時には、咬合高径といって本来患者さんが歯がすべてあった状態での咬み合わせの高さが失われている方が多いです。そして、長い年月歯の無い状態で食事を続けていると脳が高さを失った状態をインプットしてしまいます。
業者様専用ダイヤル(診療予約不可):
090-9950-0885
平日
09-19時※お昼休み無し(最終受付18:30)
土日祝
10-18時※お昼休み無し(最終受付17:30)
〒168-0064 東京都杉並区永福4丁目1−4
永福ランドビル 1F
京王井の頭線・永福町駅 徒歩 1 分
駐車場完備(所在地はコチラ)
首都高速4号新宿線「永福出入口(IC)」より5分