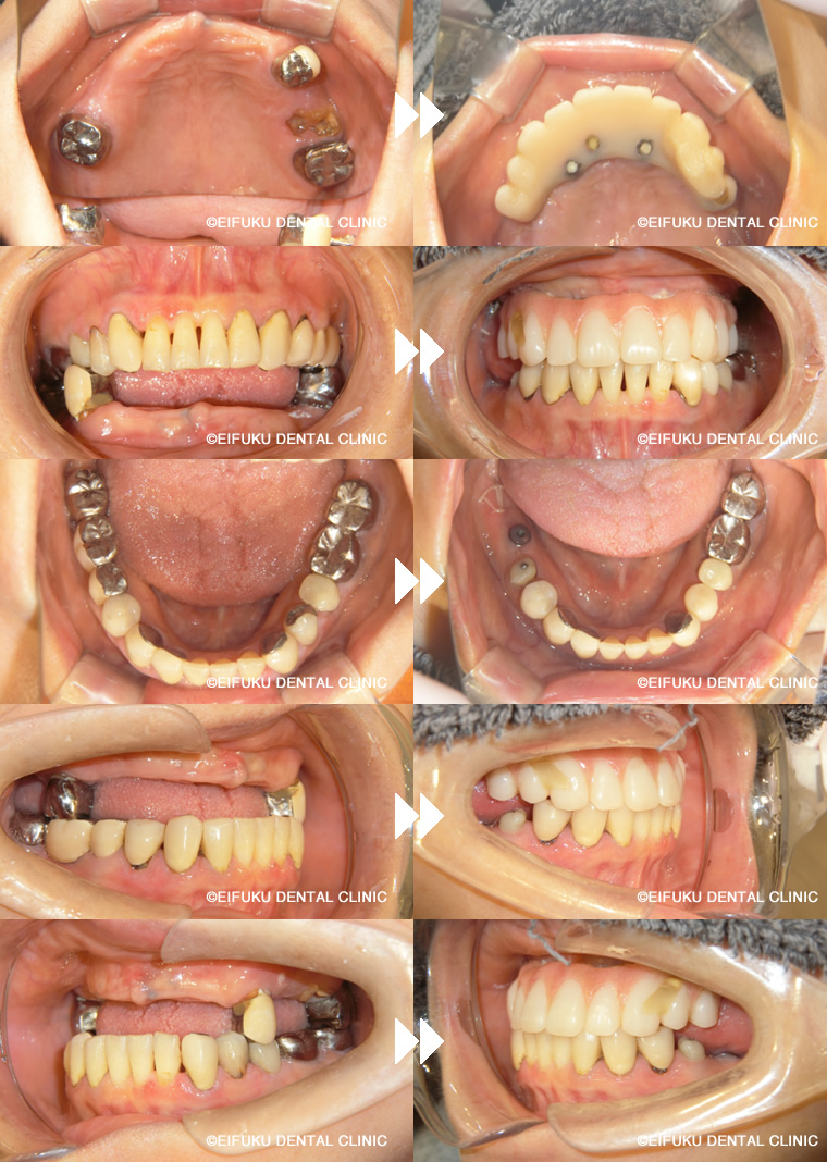
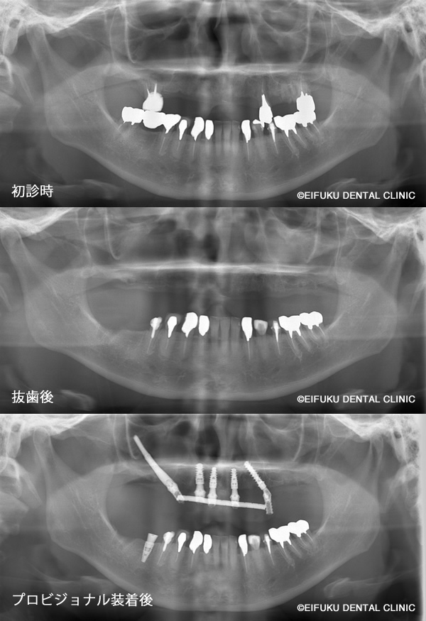
CASE01:All on 4
下の歯は4本、上の歯は5本インプラントを埋め込み、上下ともに1日で歯をセットしました。上の歯に関しては、単に5本埋入すればいいという問題ではありません。
左右の頬骨にザイゴマインプラントを用いたオールオン4
業者様専用ダイヤル(診療予約不可):090-9950-0885
平日 09-19時 *お昼休無し(最終受付18:30)
土日祝 10-18時 *お昼休無し(最終受付17:30)




| 主訴 | 「とにかく早く噛めるようになりたい」「総入れ歯にはしたくない」 |
|---|---|
| 治療部位 | 上顎 |
| 治療期間 | 手術した日に仮歯が入り、お食事が可能 |
| コメント | 40代の男性、患者さんは、「歯が動いてしっかり噛めない」「歯ぐきから血が出る」「歯が割れてしまった」というお悩みで来院されました。 重度の歯周病と歯の破折が進行しており、上顎の多くの歯は保存が難しく、このままでは仕事や日常生活に支障が出るほど噛む力が低下している状態でした。「とにかく早く噛めるようになりたい」「総入れ歯にはしたくない」という患者さんのご希望から、上顎は左右の頬骨にインプラントを固定するザイゴマインプラントを用いたオールオン形式の治療計画を立案しました。 通常のオールオン4では骨量が不足しているケースでも、頬骨を利用することで強固な固定が得られ、ブリッジ状の固定式の歯を支えることが可能になります。精密検査のうえ、残存歯を抜歯しながら同時にザイゴマインプラントを埋入し、十分な初期固定を確認したうえで、その日のうちに固定式の仮歯を装着しました。術後まもなく柔らかい食事から再開でき、「ぐらぐらせずしっかり噛める」「人前で思い切り笑えるようになった」と大変喜んでいただけました。ザイゴマインプラントを用いたオールオン形式は、歯がボロボロで動いている、歯ぐきから血が出る、歯が割れて噛めないなど重度の症状でも、短期間でしっかり噛める状態を目指せる治療オプションです。 当院では、骨量不足や重度歯周病でお悩みの方に対しても、専門的なインプラント治療と丁寧なカウンセリングで、早期に「噛める」「見た目も回復する」ことを重視した治療をご提案しています。 |
| 治療後のリスク | インプラント周囲炎、メンテナンスが必要 |
CASE07:All on 4
オールオン6(骨の状態によってはオールオン4)という技術を用いることによって、歯が1本もない患者さんでも手術をしたその日に歯が入り食事をすることが可能になります。
CASE04:インプラント
通常、インプラント手術の際に、歯肉を切開し、歯肉とあごの骨にインプラントを埋め込むする穴を開ける工程があります。その際に専用のドリルを使用するのですが、骨が細かったり、0,1mm単位で正確に埋入が必要な場合、サージカルガイドシステムが役立ちます。
CASE03:All on 4
初診時の写真にあるように、咬む場所がなく、今まで流動食や舌で潰せる食べ物しか噛めない状況でした。
そうすると、お肉などのたんぱく質が摂取できず、栄養バランスが偏ってしまいます。
CASE02:All on 4
初診時には、咬合高径といって本来患者さんが歯がすべてあった状態での咬み合わせの高さが失われている方が多いです。そして、長い年月歯の無い状態で食事を続けていると脳が高さを失った状態をインプットしてしまいます。
業者様専用ダイヤル(診療予約不可):
090-9950-0885
平日
09-19時※お昼休み無し(最終受付18:30)
土日祝
10-18時※お昼休み無し(最終受付17:30)
〒168-0064 東京都杉並区永福4丁目1−4
永福ランドビル 1F
京王井の頭線・永福町駅 徒歩 1 分
駐車場完備(所在地はコチラ)
首都高速4号新宿線「永福出入口(IC)」より5分